Escrito por:
Dr. Ion Zabalegui
Presidente de BQDC
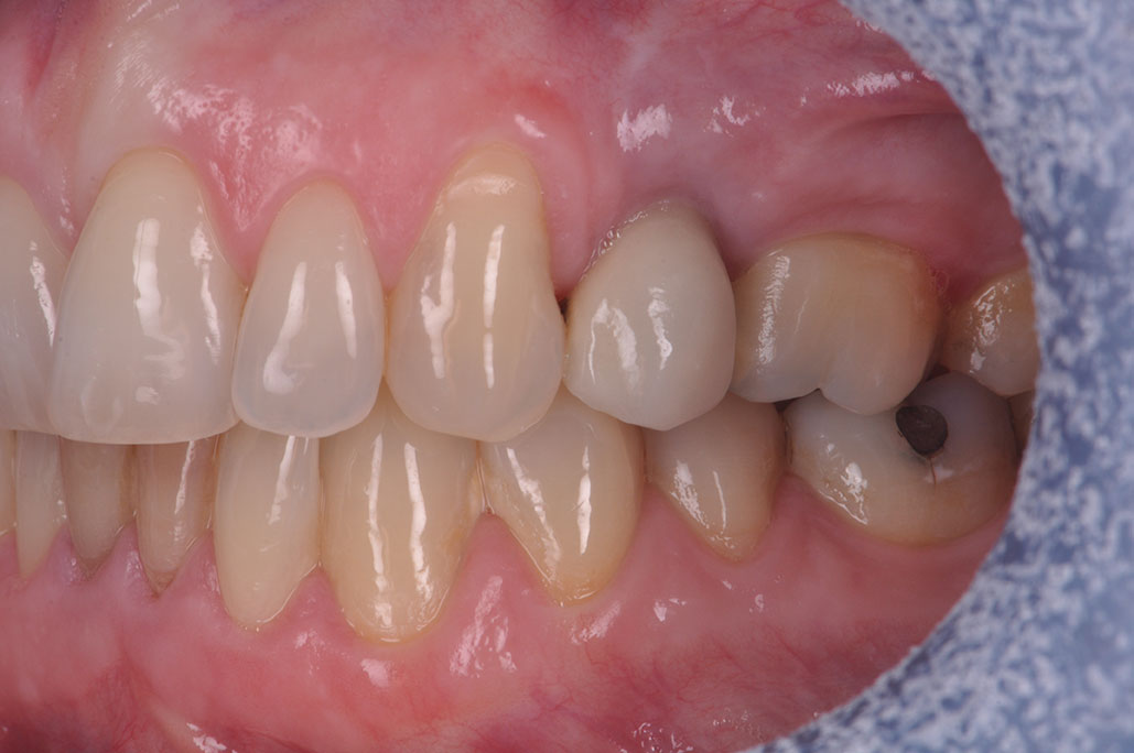
Los implantes dentales, tan populares en la actualidad para sustituir a los dientes que por algún motivo se han perdido, quedan alojados en el maxilar y la mandíbula que es como se definen los huesos de la boca que sujetan nuestros dientes. A su vez, están cubiertos por la piel de la boca, que se llama la mucosa oral.

Hay dos tipos, la mucosa blanda o mucosa alveolar, que recubre la parte interna de los labios y los laterales de los dientes, y la mucosa masticatoria o encía de los dientes y de los implantes, que es por ejemplo la que cubre todo el paladar y rodea íntimamente a los dientes tanto naturales como los sujetados por los implantes. La unión física entre la mucosa masticatoria y los dientes, alberga en su espacio interior (surco) millones de bacterias, que conviven en equilibrio con las defensas del organismo, ofreciendo de esa forma salud de estos “tejidos periimplantarios”, que es el nombre con el que se conoce a la encía de los implantes dentales.

Si ese equilibrio se rompe ya sea por exceso de bacterias y sarro, o por destrucción de los mecanismos de defensa, por ejemplo, el causado por el tabaco, la mucosa se inflama, con enrojecimiento, hinchazón, tendencia al sangrado y molestias al cepillado, es decir se produce una “mucositis periimplantaria”.
Esta infección, es reversible, lo que significa, que, si se recupera ese “equilibrio”, eliminando el exceso de bacterias con tratamiento dental desinflamatorio, la mucosa volverá a su estado original, desaparecerá el sangrado, se reducirá su tamaño y recuperará el color sonrosado compatible con salud periimplantaria. Si persiste en el tiempo sin tratamiento, la mucositis puede alterar el nivel del hueso que sujeta a los implantes, en cuyo caso estamos ante una situación distinta pero simultánea, que se llama periimplantitis o destrucción paulatina del hueso que los sujeta.

La mejor forma de prevenir la aparición de una mucositis, es manteniendo una buena higiene oral con cepillado diario y usando higiene o limpieza interdental diaria mediante el uso de cepillos interproximales o cinta dental específica para implantes. Las personas portadoras de prótesis sobre implantes pertenecen al grupo de pacientes que necesitan una revisión dental continuada, profilaxis o mantenimiento profesional al menos cada 6 meses.
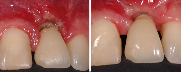
Por último, hay ocasiones en las que el implante carece de “mucosa masticatoria” o “encía dura”, y es necesario añadirla mediante un sencillo procedimiento de autotransplante (injerto de tejido) de encía proveniente del paladar con un poco de anestesia local y microsuturas o pequeños puntos de sutura.

