Escrito por:
Dr. Pedro Lorente
Clínica Lorente Ortodoncia
La ortodoncia interceptiva es el tratamiento de ortodoncia que se lleva a cabo en los pacientes más jóvenes que por lo general todavía presentan
dientes de leche y alguno definitivo.
Este tipo de tratamiento busca corregir anomalías que podrían alterar el desarrollo del crecimiento de los huesos de la cara o impedir que
los dientes definitivos erupcionen de forma correcta.
En algunos casos, puede ser necesario realizar una segunda fase de ortodoncia para
perfeccionar el resultado.
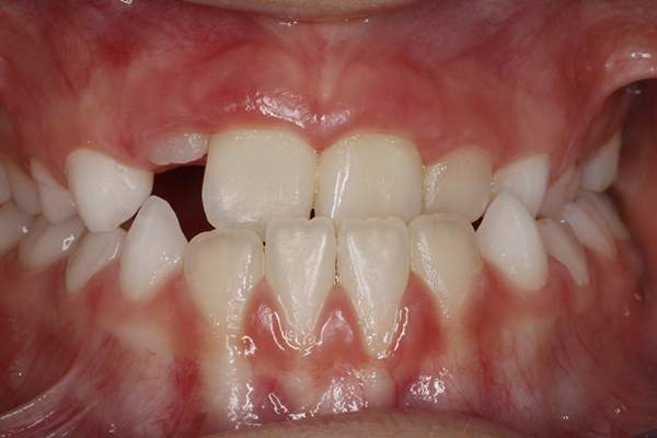
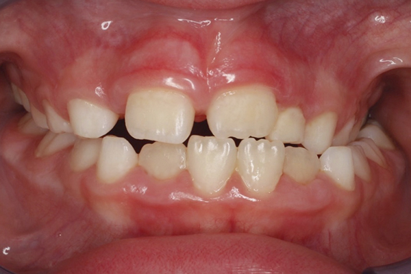
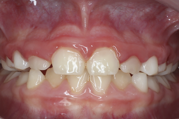
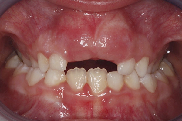
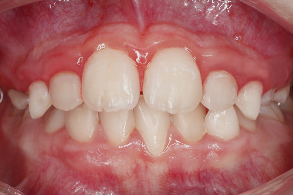
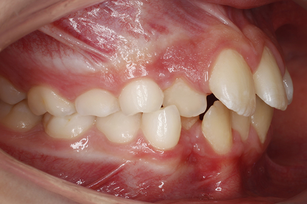
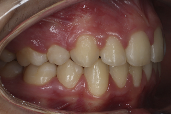
Casos antes y después
La ortodoncia interceptiva es fundamental para abordar problemas que afectan
tanto a la funcionalidad como a la estética dental y facial durante el
crecimiento.
Entre las alteraciones más comunes que pueden tratarse a tiempo se encuentran:
Mordida cruzada anterior (MCA): Los incisivos superiores se encuentran mordiendo
por detrás de los inferiores.


Mordida cruzada unilateral (MCU): Los dientes superiores de un lado están mordiendo por dentro con respecto al lado contrario que es correcto.


Mordida cruzada bilateral (MCB): Los dientes superiores de ambos lados están mordiendo por dentro con respecto a los inferiores.


Protrusión dentaria: Los dientes antero-superiores presentan exceso de inclinación.


¿Cuándo se recomienda la primera revisión de ortodoncia?
La primera revisión se recomienda a los 6 años, que es cuando erupcionan los primeros molares y se empieza a generar la mordida definitiva del adulto.
¿Es frecuente este tipo de tratamiento de ortodoncia?
Este tipo de tratamientos se llevan a cabo en niños entre los 6-10 años. A estas edades sólo un bajo porcentaje de ellos lo necesitará. Al resto de pacientes, aunque no requieran ningún tratamiento de ortodoncia interceptiva, conviene revisarlos periódicamente para ir vigilando su recambio dentario.
Es importante desmentir el mito de que no es necesario acudir al ortodoncista hasta que se caigan todos los dientes de leche. Aunque el porcentaje de alteraciones de la mordida sea bajo, se pueden estar dejando sin diagnosticar y tratar problemas serios de erupción dentaria y crecimiento facial.
¿Son tratamientos muy complejos?
Existen diversas alteraciones de la mordida que deben tratarse durante el crecimiento del niño, tales como la compresión del maxilar, la falta de espacio para la erupción dentaria, las alteraciones en la trayectoria de erupción de algún diente o los malos hábitos como chuparse el dedo o morderse las uñas.
Problemas interceptivos más frecuentes
Los problemas interceptivos son alteraciones comunes que pueden presentarse durante el crecimiento dental y facial de los niños. Identificarlos y tratarlos a tiempo es clave para garantizar un desarrollo adecuado y prevenir complicaciones futuras. Entre los problemas más frecuentes que requieren intervención temprana se encuentran:
Mordida abierta
Protrusión
Erupción atípica
Mordida cruzada anterior
Mordida cruzada posteriorunilateral
Mordida cruzada posteriorbilateral
Apiñamiento
Retardo en la erupción
Malos hábitosSe debe procurar que los tratamientos sean breves, eficaces y lo más sencillos posibles, de manera que la colaboración del paciente esté asegurada. Conviene señalar que con estas edades la capacidad de adaptación y tolerancia al tratamiento por parte de los pacientes es muy alta, facilitando la obtención de muy buenos resultados.
Tras llevar un tratamiento interceptivo, ¿puede que el paciente tenga que volver a llevar aparatos?
Generalmente se realizan controles periódicos cada ciertos meses para ir vigilando el cambio dentario y el crecimiento de la cara. En algunos casos, no será necesaria una segunda fase de ortodoncia. Sin embargo, cuando se trate de un caso más complejo, se recurrirá a una segunda fase que suele ser más sencilla y breve, ya que muchos problemas se habrán corregido previamente.
