Escrito por:
Dra. Marta Pla Martínez
Clínica Dental Rafael Pla
Una sobredentadura sobre implantes, es un tipo de prótesis dental removible que se retiene firmemente por medio de unos ataches o sistemas de fijación con implantes dentales, mejorando la estabilidad y funcionalidad de este tipo de prótesis dentales removibles.
Es un tratamiento especialmente indicado para pacientes con poco hueso y grandes reabsorciones del volumen de sus maxilares. Generalmente es el caso de pacientes de avanzada edad con pérdida de dientes desde hace muchos años y que son portadores de prótesis removibles con grandes dificultades para fijarlas y los consiguientes problemas para comer, hablar, etc.

Ese tipo de prótesis proporcionan un grado elevado de satisfacción entre los pacientes edéntulos, ya que les confiere una mayor sujeción a la prótesis que las tradicionales removibles que van simplemente apoyadas en la encía.
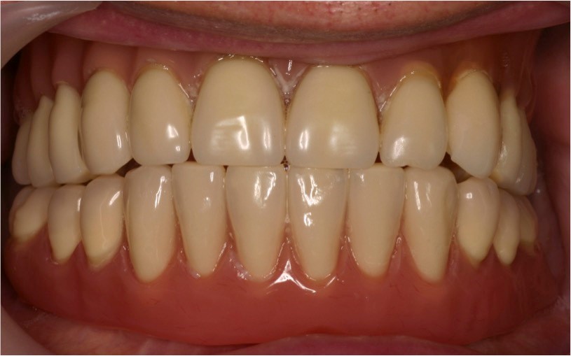
Con las sobredentaduras se consigue un aspecto natural, con resultados altamente estéticos y una función masticatoria adecuada, lo que permiten devolver estética y función a pacientes que han perdido todos los dientes y no pueden llevar una prótesis removible con comodidad.
Consiguen que el paciente este cómodo y seguro con la prótesis y que además pueda quitársela, lo cual facilita su higiene.
Que sea removible es una de sus principales ventajas, sobretodo en pacientes de edad avanzada o pacientes con limitaciones motoras o psíquicas, ya que les permite un fácil cuidado y mantenimiento de este tipo de prótesis y sobre todo de los implantes que las fijan.
Las sobredentaduras son especialmente útiles en la arcada inferior, ya que, en la mandíbula, las prótesis completas removibles son mucho más incomodas que las prótesis completas superiores. Esto es debido a que la presencia de la lengua y el tipo de reabsorción ósea que se produce en la mandíbula no permite que la prótesis inferior se sujete adecuadamente, resultando muy incómodo para la mayoría de los pacientes y con frecuencia de imposible utilización.
Es una solución económica, ya que se requieren un menor número de implantes, que para una prótesis total fija sobre implantes.
El número de implantes necesario depende del caso en particular de cada paciente y de la arcada a rehabilitar. En la arcada inferior se necesitan como mínimo dos implantes, mientras que en la arcada superior se requiere un mínimo de cuatro implantes dentales.
Las sobredentaduras se realizan con el mismo protocolo clínico que se lleva a cabo una prótesis completa removible. La diferencia con este tipo de prótesis es que las sobredentaduras llevan en su base interna unos sistemas de fijación, que por fricción se retienen a unos aditamentos atornillados a los implantes.

El tipo de atache o sistema de fijación, por el cual se retiene la prótesis a los implantes, se elige en función a unos parámetros clínicos para adaptarse a la situación específica de cada paciente.
Existen diferentes sistemas de retención de la prótesis a los implantes:
- con barras, que destacan por su gran capacidad de retención
- con ataches esféricos, de diseño sencillo y coste más reducido
- con locators, un encaje unitario por implante que facilita su estabilidad
- telescópicas
- microfresados
Los materiales que se usan para la fabricación de sobredentaduras, son habitualmente metal-resina y el acrílico, además de una subestructura metálica que proporciona resistencia y sujeta con efectividad los dientes.
